Дългогодишните изследвания за намиране на лекарство срещу Алцхаймер са пред епохален пробив. Фармацевтични гиганти като „Биоген“, „Роше“ или „Ели Лили“ са в сериозна схватка коя да извади медикаментът първа на пазара, съобщи днес германското финансово списание „Мениджър“.

Става дума за пазар за над 70 милиарда долара, посочва списанието.

Само допреди няколко месеца шефът на американския фармацевтичен концерн „Биоген“ Майкъл Вунацос бе пред уволнение. Фирмата разработи медикамент срещу Алцхаймер и вложи в него 10 милиарда евро, като дори получи лиценз за пускането му през 2021 година. Но лекарството се оказа провал. В Европа то не бе допуснато за продажба, тъй като според специалисти влиянието му е ограничено. В началото на май „Биоген“ обяви, че Вунацос ще напусне фирмата в момента ,в който бъде избран негов наследник. Половин година по-късно Вунацос обаче още е на поста си, а тъмните облаци около концерна се разсейват.

„Биоген“ и японската фирма „Ейсай“ разработиха в това време антителата „Леканемаб“, който се оказа с изключително добро въздействие върху пациенти с Алцхаймер. След 18 месеца лечение с тях пациентите показват значително подобрени интелектуални способности. Когато тази новина стана известна в края на септември курсовете на акциите на двете фирми скочиха с 60%.

Освен това конкуренти, разработващи подобни лекарства, също отбелязаха значително поскъпване на акциите си.

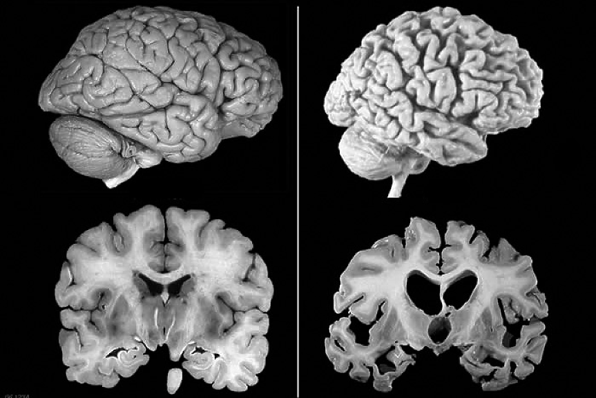
Търсенето на работещо лекарство срещу Алцхаймер от години е нещо като търсенето на Светия Граал за глобалната фармацевтика. Над 50 милиона души в света са засегнати от коварната болест, която убива нервните клетки в мозъка.

Целта на фармацевтите е да намерят лек, който поне спира или забавя развитието на болестта.

В края на октомври Вунацос представи новото лекарство и заяви, че експертите са изпълнени с оптимизъм. „Биоген“ се надява, че в най-скоро време „Антилакаб“ (Antilacab) ще бъде допуснат до продабжи в САЩ, Япония и Европа.

Проблем засега остава достъпността на медикамента и цената му.

След дългогодишни напразни усилия успехи на този фронт напоследък отбелязват и конкурентите – две изследвания на две други фармацевтични фирми показват, че техните разработки също успешно отстраняват милоидните наслагвания в мозъка.

Швейцарците от „Роше“ са почти готови с медикамента си „Гантенерумаб“. Тестването на това лекарство е продължило дори не 18, а 27 месеца и също е показало значително подобряване на състоянието на пациентите. Този месец предстои публикуване на резултатите.  

Американците от „Еби Биби“ също са готови с клиничните изпитания на техния медикамент „Донанемаб“. Те обаче ще бъдат публикувани през май 2023 година.

Това лекарство забавя симптоми на Алцхаймер като забравяне и дезориентация. Американската лекарствена служба FDA обяви вече, че става дума за истинска революция в лечението на болестта.

Очаква се през следващите месеци да стане ясно дали на пазара ще излязат няколко лекарства със сериозен ефект при лечението.

Според прогнозите на СЗО до 2050 година пациентите с Алцхаймер ще се увеличат до 139 милиона, ако не се появи ефективно лечение.