Учени разработиха антитяло, което може почти напълно да изчисти видимите следи от Алцхаймер в мозъка, съобщи в. "Индепендънт". Макар да не може да се говори за излекуване, всички пациенти в изследването, получили високи дози от новия медикамент, са били изчистени от амилоидните плаки, които увреждат мозъка.
Макар все още да е твърде рано да се каже, изследователите, които са от няколко държави, са установили, че влошаването на когнитивните способности при тези пациенти се е забавило.
“Ако тези предварителни когнитивни резултати бъдат потвърдени в по-големи клинични тестове, които сега започват, медикаментът може да се окаже ключов за борбата срещу Алцхаймер", отбелязва проф. Ерик Рейман от Университета в Аризона.
От болестта на Алхаймер страдат близо 50 милиона души в цял свят, тя е отговорна за до 70% от случаите на деменция. Макар обикновено да се появява след 65 години, 4-5% от случаите са при далеч по-млади пациенти.
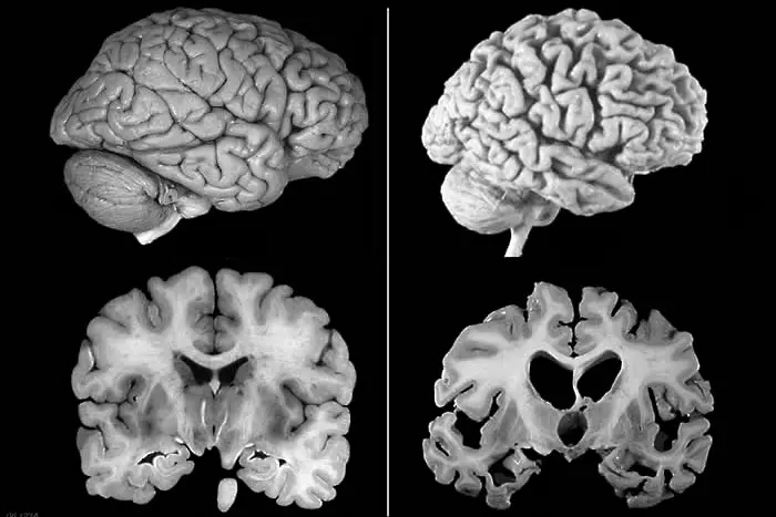
Все още няма ясна идея какво точно причинява болестта, но е ясно, че щетите върху мозъка са предизвикани от т.нар амилоидни плаки, съставени от грешно сгънати протеини. Те се разполагат около коровите клетки, сплетенията, които са разположени в мозъчните клетки или в невроните. Това води до загуба на връзките между клетките и до загуба на неврони. Заболяването се развива бавно, но упорито, и с времето мозъкът се влошава сериозно - боледуващите губят не само спомените си, но забравят как да се хранят, как да се движат, как да преглъщат, как да дишат. Повечето живеят между 8 и 12 години след диагнозата.
Новият медикамент изчиства амилоидните плаки почти напълно при високите дози след година приемане. При групите с плацебо няма разлика, а тези с по-малки дози са получили съответно по-малко изчистване.
Медикаментът е разработен на базата на имунни клетки, взети от кръвта на столетници, в чиито мозъци няма и следа от заболяването. Важно е да се отбележи, че пациентите, участвали в изследването, са в ранен стадий на болестта.
Авторите на изследването признават, че все още не може да се говори дефинитивно, че и мозъчните функции на пациентите са се подобрили. Но ако това е факт, хипотезата, че амилоидните плаки са основния проблем при болестта, ще се окаже вярна, което пък ще доведе до по-лесно откриване на лек.
Д-р Тара Спайръс-Джоунс, директор на Центъра за когнитивни и неврални системи към Единбургския университет признава, че трудно сдържа вълнението си.
"Внимателно оптимистична съм за това лечение, опитвам се да не се възбуждам твърде много, защото много медикаменти минават този ранен етап на тестване, но се провалят на големите изследвания", отбелязва тя.