Учени приветстват новия етап от битката с болестта на Алцхаймер, след като подробните резултати от клинично изпитание на ново лекарство, потвърдиха неговата ефективност за забавяне на когнитивния упадък при пациенти. Те обаче отчитат и неговите понякога тежки странични ефекти, съобщават световните осведомителни агенции.
Пълните резултати от клиничното изпитание в напреднала фаза (фаза III), обхванало близо 1800 души, наблюдавани в продължение на 18 месеца, потвърждават намаляване с 27 процента на когнитивния упадък при пациенти, лекувани с леканемаб. Лекарството е разработено от японската фармацевтична компания "Ейсай" (Eisai) и американската "Байоджен" (Biogen).
Това "статистически значимо" съотношение според двете компании беше оповестено още в края на септември.

Пълното проучване, публикувано във вторник в "Ню Ингланд джърнъл ъв медисин" (New England Journal of Medicine), обаче описва подробно и честотата на страничните ефекти от леканемаб, които понякога са сериозни и значително по-чести, отколкото в групата на пациентите, приемали плацебо.
Резултатите показват, че 17,3 процента от пациентите, лекувани с леканемаб, са получи мозъчни кръвоизливи, срещу 9 процента в групата на плацебо.
При 12,6 процента от пациентите, приемали експерименталното лекарство, е наблюдаван мозъчен оток, срещу едва 1,7 процента в групата на плацебо.
Въпреки това общият процент на смъртност е почти еднакъв и при двете групи (0,7 процента при лекуваните с леканемаб и 0,8 процента при пациентите на плацебо).
"Това е първото лекарство, което предоставя реална възможност за лечение на хората с болестта на Алцхаймер", приветства резултатите Барт де Строупър, директор на Британския институт за изследване на деменцията.
"Въпреки че клиничните ползи изглеждат донякъде ограничени, може да се очаква те да станат по-очевидни, ако лекарството се прилага за по-дълъг период от време", допълва експертът.
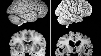
При болестта на Алцхаймер се наблюдава постепенно необичайно натрупване в мозъка на два ключови протеина - тау и бета-амилоид. Това води до смърт на мозъчни клетки, свиване на мозъка, загуба на памет и нарастваща неспособност за изпълнение на ежедневните задачи. Заболяването е един от основните проблеми на общественото здравеопазване, засягащ повече от 40 милиона души по света.
Лекарството леканемаб е насочено срещу отлаганията на протеина бета-амилоид, но само в ранните етапи на болестта на Алцхаймер. Това може да ограничи употребата му, тъй като заболяването често се диагностицира късно, посочва БТА.