Откритие в областта на кръвните тестове може да доведе до разработване на нови терапии срещу болестта на Алцхаймер, сочат резултатите от изследване, цитирани от ЮПИ.
Специалисти са установили, че количеството липиди в кръвта може да допринесе за образуване на амилоиден пептид в мозъка. Сега учените искат да използват тази информация и да разработят метод за тестване на въпросните липиди у хора, преди да са се появили първите симптоми на болестта на Алцхаймер.
"Става въпрос за първото изследване, при което липиди, произведени в мозъка, са открити в кръвта, като се има предвид, че предразположението към образуване на амилоиди се увеличава при болестта на Алцхаймер - заяви Кристина Легидо-Куигли от лондонския Кингс колидж. - Известно е, че тези липиди предразполагат към сън. Има данни, че токсични амилоиди се натрупват при недоспиване, така че липидите може би играят роля за прочистване на мозъка от тях."
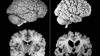
Амилоидните пептиди се превръщат в токсични плаки в мозъка, които увреждат невроните, поясниха учените.
"За новите терапии срещу болестта на Алцхаймер е нужен надежден диагностичен тест, който може да се използва за идентифициране на хора от рисковата група", отбеляза Легидо-Куигли.
Резултатите от изследването са публикувани в Alzheimer's & Dementia.
БТА